近日,中国农业科学院植物保护研究所作物有害生物功能基因组研究创新团队与俄亥俄州立大学、孟加拉国谢赫穆吉布拉赫曼农业大学、巴西圣卡洛斯联邦大学和美国农业部合作开发出一种检测田间麦瘟病发生的新方法,该方法不依赖实验室PCR仪等专业设备,实现了麦瘟病的田间快速核酸检测。通过与巴西、孟加拉国等合作单位对早期侵染材料进行检测发现,该方法比传统的PCR检测灵敏度更高。相关研究成果在线发表在《工程院院刊(Engineering)》上。

图1分析流程图:1,对两个麦瘟菌基因组进行测序、组装、注释,
并与3个已发表的稻瘟菌基因组进行比较基因组学分析,找出在两个麦瘟菌中均存在、在稻瘟菌中均不存在的基因;
2,将获得的基因比对到NCBI基因库,进一步去除稻瘟菌中的基因,共筛选出100个麦瘟菌基因;
3,将这100个基因比对到更多的已发表的麦瘟菌和稻瘟菌基因组,
最终获得2个麦瘟菌中稳定存在,而水稻稻瘟菌中不存在的基因。
据康厚祥副研究员介绍,1985年,麦瘟病首次在南美洲爆发,该病发生严重时可造成高达100%的小麦产量损失。麦瘟病病原为稻瘟菌(Magnaporthe oryzae)的小麦致病型,也称麦瘟菌。麦瘟菌菌丝、孢子的外观形态与水稻稻瘟菌完全一致,两者基因组DNA序列整体一致性也超过99%。然而,麦瘟菌对小麦的整体侵染能力比水稻稻瘟菌对水稻的侵染能力更强,且麦瘟菌广泛对嘧菌酯、醚菌酯等QoI类杀菌剂具有较强的抗药性和耐药性。目前研究发现,小麦种质资源中只有2N片段、Rmg2、Rmg3、Rmg7和Rmg8等少数抗病区段和基因,除Rmg8外,其余抗病基因的抗性均已被麦瘟菌克服或对穗颈瘟无效。麦瘟病于2016年进入南亚孟加拉国并爆发,给当地小麦生产造成毁灭性打击,麦瘟病进入亚洲后,其菌丝或孢子随气流、种子等媒介进入我国的风险进一步增加。因此,开发出准确的麦瘟菌检测技术对准确监测预警、及时阻断其可能的入侵具有重要意义。

图2利用特异性引物可准确检测麦病侵染。(a):侵染14天后的病斑;
(b):小麦穗颈瘟田间照片;(c):利用基因特异引物检测麦瘟菌侵染
(2,3,4分别为麦瘟菌丝正对照、叶瘟、穗颈瘟,5,6为两个稻瘟菌对照)。

图3 整合Cas12a、RPA和NALFIA技术快速检测麦瘟病。
(a):检测流程示意图,将待检测材料(可为经过简易DNA提取的田间材料)通过RPA特异性的扩增,
然后再利用Cas12a特异性的识别目的DNA片段,成功识别到目的片段后激活Cas12a的非特异性单链切割活性,
通过第二轮RPA来检测溶液中的随机探针是否准确被切割,
然后通过NALFIA在检测试纸上准确显示出检测结果;(b):按流程准确检测和区分MoT和MoO。

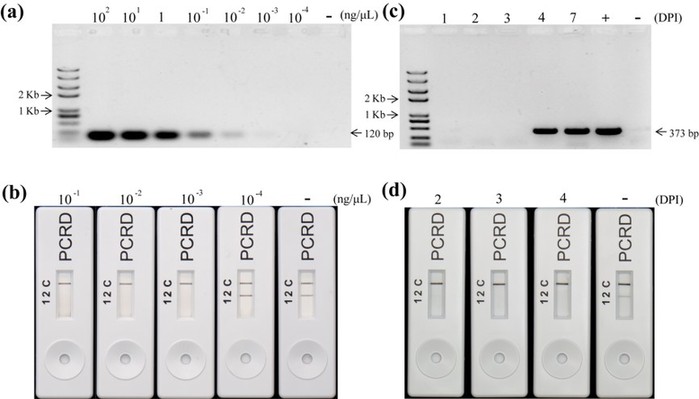
图4 对Cas12a-RPA-NALFIA 结合检测方法进行灵敏度测试。普通PCR检测在DNA浓度降低到10-3-10-4(ng/μL)时,
难以准确检测到目的条带(图 左上);而Cas12a-RPA-NALFIA技术能在DNA浓度降低到10-3-10-4(ng/μL)时,
快速准确检测到目的条带(图 左下)。同时,模拟田间侵染情况下普通PCR检测至少需要在侵染后第4天才能检测到目的条带(图 右上);
而Cas12a-RPA-NALFIA技术最快能在侵染后第2天便准确检测到目的条带(图 右下)。
该团队与巴西合作,从田间分离出麦瘟菌并对其中两个菌株进行了全基因组测序和序列分析;通过与已公布的大量稻瘟基因组进行比较基因组学分析并找出了麦瘟菌特异的DNA序列;结合RPA、Cas12a、NALFIA等技术开发出了田间快速检测方法并在孟加拉国进行测试。传统PCR核酸检测方法在麦瘟菌侵染后第4天才能被检测到,而该方法在侵染后第2天便能准确检测到麦瘟菌侵染,表现出更高的灵敏度。同时,该方法还能明确区分种内不同致病型,表现出较高的准确性和特异性。
据了解,该研究得到中国农科院科技创新工程等资助。(单位:中国农业科学院植物保护研究所 )





